Sharing Experiences from Ukraine
Dr. Oksana, Radiologist
Hello from Ukraine! I am a radiologist from Ukraine working in Vinnystіa city which is in west-central Ukraine, located on the banks of the Southern Bug. It is the largest city in the historic region of Podillia. I got interested in webinars conducted by IOMP which were useful to me.
As a radiologist, my first wish was to go to the front as a military medic and sign a contract in first days of the russian intrusion. But I was stopped by my small children and the conviction of the military that if I stay at my workplace, I will do no less service to needy and benefit my country. They were correct.
I and almost all my colleagues around me left the country and we are at our workplaces, despite this very difficult time. A part of our doctors and nurses went to army.
From the first days we started to provide assistance to wounded civilians and the military from different parts of our country. Our work is to diagnose various injuries of the chest, abdomen, skull, pelvis and especially the limbs. We help thoracic, abdominal and facial surgeons, ophthalmologists, and especially orthopaedists in preoperative and postoperative stages of the treatment.
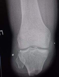
One of our tasks, as radiologists, has been to find foreign bodies in the people’s arms, legs, abdomen and thoracic wall with help of radiography or ultrasound. We also help in finding traumatic injuries to internal organs. Despite of lack of a new equipment we try to help all our patients as much as it possible. Psychological support of patients is also important in our work which I am are doing.
I greatly appreciate people from all over the world and for all international medical organizations such as IOMP, who have shown sympathy and supported in the way they can. Warm words of support, free access for educational materials, humanitarian aid with medicines, equipment, the most modern weapons, money – these are all things without which we would not be able to stand against the enemy on our own.
The X-ray in the Figures in this article are of one of our civilian patients who has recently lost one of his hands, one leg and damaged other leg after the Russians came to his village in the south of Ukraine.
When we win, and it will be very soon, we all together will rebuild our country. I feel grateful that I could survive while continuing to work in Vinnytsia and am contributing my knowledge and skills.
